マウスピース矯正治療実績

実績724

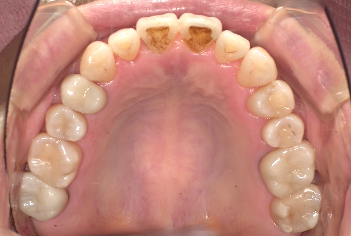
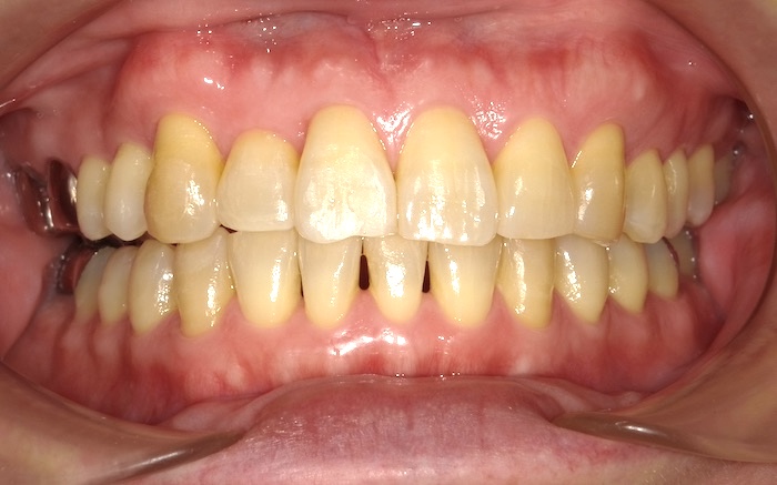
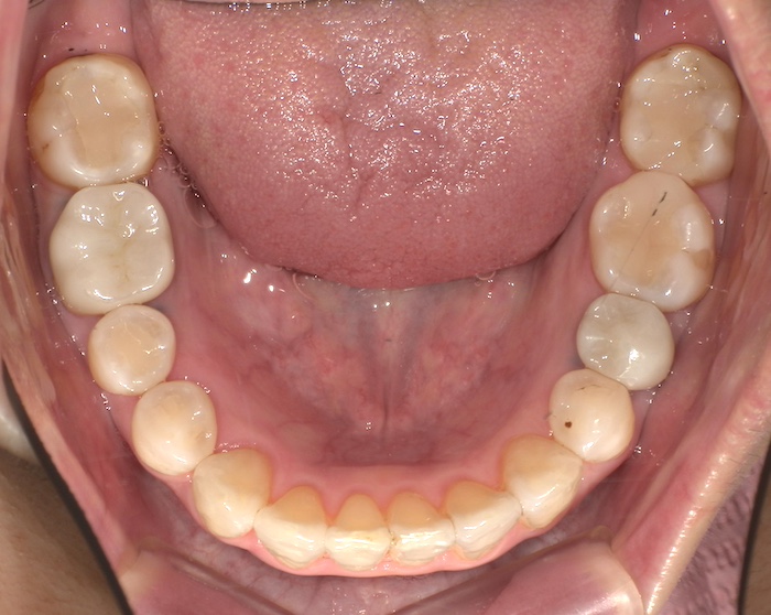
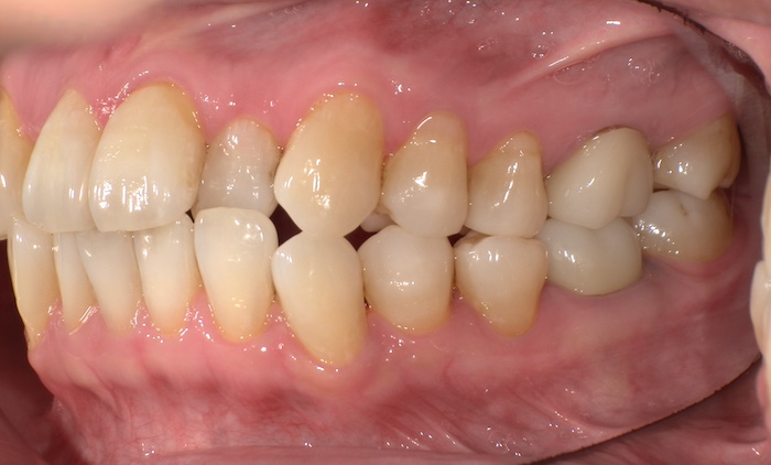
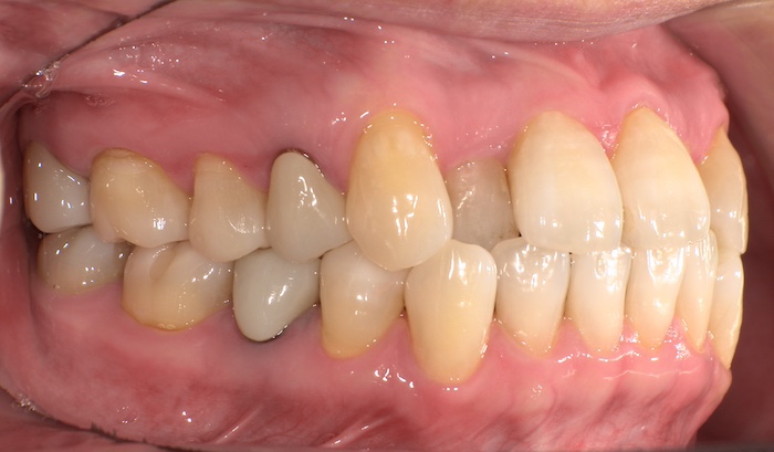
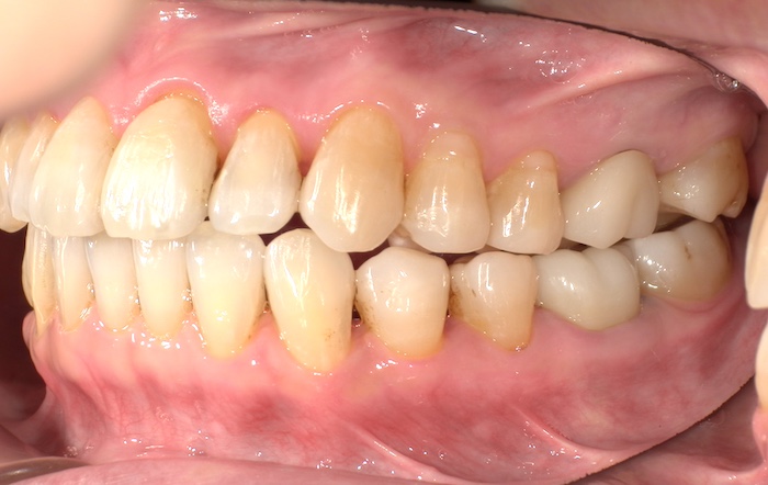
54歳女性 前歯の叢生と上顎2番の反対咬合

主訴
前歯の叢生と上顎の部分的な反対咬合の改善希望
治療方法
インビザラインモデレート
抜歯有無
なし
通院回数
11ヶ月
トータル治療費
594,000円
詳細を見る
実績710

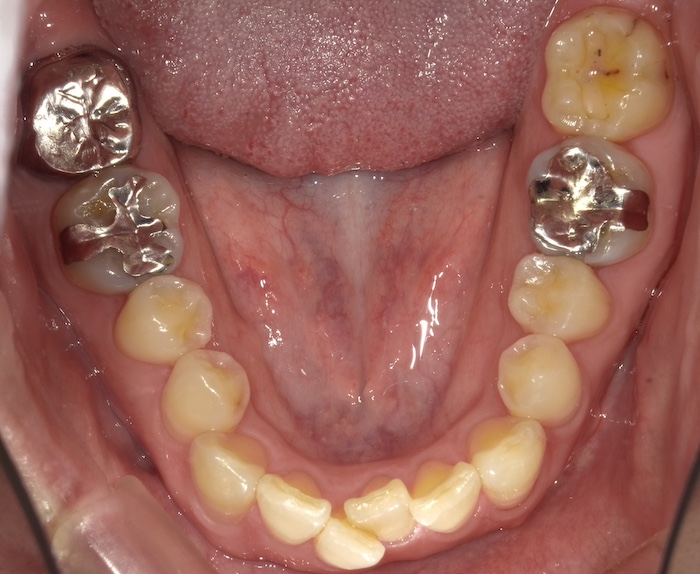
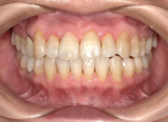
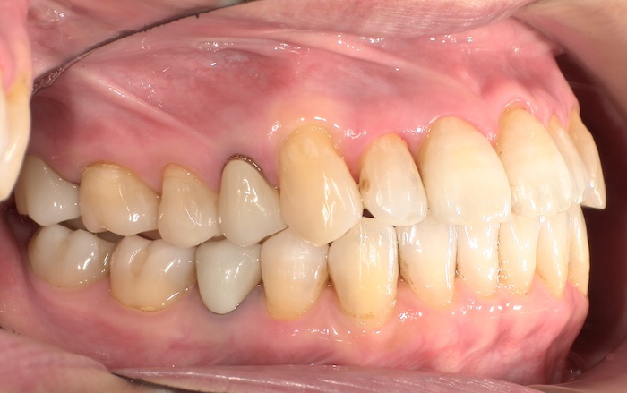
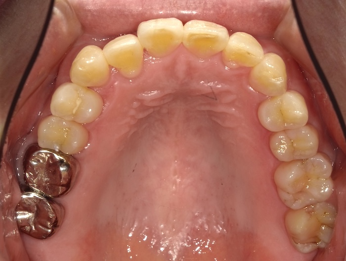
46歳女性 上顎の反対咬合と下顎の叢生

主訴
下顎前歯の叢生と上顎2番の反対咬合の改善
治療方法
インビザラインコンプリヘンシブ
抜歯有無
なし
通院回数
16ヶ月
トータル治療費
885,000円
詳細を見る
実績591

歯の傾きも含めて歯並びをきれいにした症例

主訴
上の歯が下の歯を隠す、歯が傾いている
治療方法
インビザラインコンプリヘンシブ
抜歯有無
なし
通院回数
24回
トータル治療費
982,300円
詳細を見る
実績475

前歯の開口と歯並びを綺麗にした症例

主訴
前歯の開口
治療方法
インビザライン
抜歯有無
なし
通院回数
12回
トータル治療費
790,000円
詳細を見る
実績466

前歯が隙間や前歯で噛めない人の症例

主訴
すきっ歯
治療方法
インビザラインコンプリヘンシブ
抜歯有無
なし
通院回数
10回
トータル治療費
861,300円
詳細を見る
実績454

前歯で噛めない歯並びの症例

主訴
前歯が浮いて しまっている
治療方法
インビザラインコンプリヘンシブ
抜歯有無
なし
通院回数
23回
トータル治療費
976,800円
詳細を見る
実績389

正中のズレ、前歯が重なる、下顎がガタガタしている症例

主訴
歯並びがデコボコ
治療方法
インビザラインGO
抜歯有無
なし
通院回数
10回
トータル治療費
531,300円
詳細を見る
実績268

前歯がねじれている歯並びを綺麗にした症例

主訴
前歯がねじれている
治療方法
インビザラインGO
抜歯有無
なし
通院回数
12回(12ヶ月)
トータル治療費
561,000円
詳細を見る
実績347

ガタガタの歯並びをインビザラインGOで矯正治療

主訴
治療方法
インビザラインGO
抜歯有無
通院回数
8回
トータル治療費
528,000円
詳細を見る
実績258

前歯のすきっ歯を綺麗にした症例

主訴
前歯のすきっ歯
治療方法
インビザラインGO
抜歯有無
なし
通院回数
9回(7ヶ月)
トータル治療費
550,000円
詳細を見る