マウスピース矯正治療実績

実績248

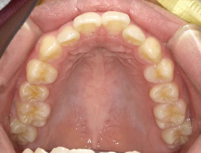
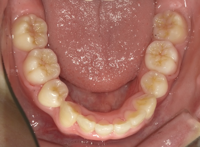
前歯の叢生と前歯部の反対咬合を綺麗にした症例

主訴
前歯の叢生と前歯部の反対咬合
治療方法
インビザラインコンプリヘンシブ
抜歯有無
なし
通院回数
17回(14ヶ月)
トータル治療費
962,900円
詳細を見る
実績234

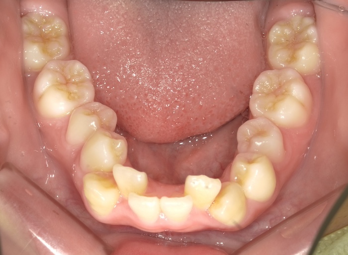
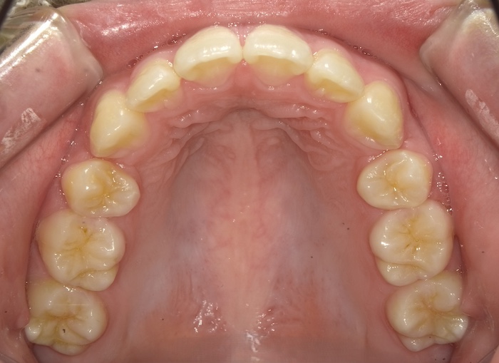
犬歯が出ていて叢生が気になる歯を綺麗にした症例

主訴
犬歯が出ていて叢生が気になる
治療方法
インビザラインGO
抜歯有無
なし
通院回数
10(8ヶ月)
トータル治療費
533,500円
詳細を見る
実績135

下の歯も綺麗な歯並びに改善した症例

主訴
歯並びがデコボコ
治療方法
インビザライン
抜歯有無
なし
通院回数
9回
トータル治療費
1,059,300円 (前歯と奥歯の補綴物を含む)
詳細を見る
実績123

内側に入っていた歯を綺麗にした症例

主訴
上の歯が下の歯を隠す
治療方法
インビザライン
抜歯有無
なし
通院回数
7回
トータル治療費
522,000円
詳細を見る
実績111

抜歯せずに綺麗な歯並びを手に入れました。

主訴
歯並びがデコボコ
治療方法
インビザライン
抜歯有無
なし
通院回数
9回
トータル治療費
507,100円
詳細を見る
実績736

重度の2級症例で全ての4番の抜歯を行っています

主訴
出っ歯を改善したい
治療方法
インビザラインコンプリヘンシブ
抜歯有無
上下4番を4本抜歯
通院回数
11ヶ月
トータル治療費
907,500円
詳細を見る