足柄駅より徒歩3分
0120-182-760
診療時間
9:00~12:15/14:00~18:30
定休日
木,日,祝
無料カウンセリング予約
マウスピース矯正について
治療実績
料金について
治療の流れ
よくある質問
クリニック紹介
コラム
Column
矯正歯科コラム
最新記事
2026.03.15
歯の矯正相談で聞くこと(聞いておくべきこと)とは? カウンセリングの内容&確認しておきたい9つのポイント
2026.02.28
歯科矯正シミュレーションで歯の動き方・仕上がりの歯並びを確認できる! インビザラインの「クリンチェック」とは?
2026.02.15
矯正中、歯がグラグラする… 矯正中に歯が揺れるのは正常な現象? 矯正で歯が抜け落ちることってあるの?
2025.11.09
抜歯?非抜歯? 歯を抜く矯正・歯を抜かない矯正の違いを解説!
2025.10.13
歯型取りの負担を軽減! 口腔内スキャナー「iTero ルミナ」のメリット フルデジタル式マウスピース矯正の未来
2025.09.28
マウスピース矯正(インビザライン)の治療期間はどれくらい? 部分矯正・全体矯正の期間の違いを解説
2025.08.12
歯の矯正前に行う精密検査では何を確認するの? 矯正前の精密検査&治療計画が重要な理由
2025.06.19
マウスピース矯正(インビザラインなど)って痛い? ワイヤー矯正と比べて、どっちが痛いの?
2025.05.09
マウスピース矯正中、注意が必要な飲み物・食べ物は? マウスピース矯正中の食事について
2025.04.10
歯の矯正に欠かせない保定 リテーナーは1日何時間装着するの?
« 前の記事へ
│記事一覧│
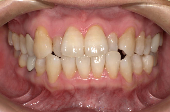
2026.02.06
54歳女性 前歯の叢生と上顎2番の反対咬合