01

当院では、特別な講習を受けることで取得できる「インビザラインドクター」のライセンス(免許)を持つ院長が、インビザライン治療を担当いたします。
院長は矯正治療の経験が20年以上(※)。これまでの幅広い症例に対する治療経験は、インビザライン治療にも存分に活かされています。※2024年12月現在
02

デンタルローンなら最大84回払いまで選択できます。部分矯正(インビザラインGO)は月々6,700円~。全体矯正(インビザライン・コンプリヘンシブ)の場合は月々11,500円~治療が可能です。
03

無理にご契約することは一切ございません。矯正専門医に話を聞きたい感覚でお気軽にご相談ください。
状況によっては、レントゲンや歯茎の検査が必要なため、保険の内容(2,000円~2,500円程度)で検査させて頂きます。
04

マウスピース矯正と言っても、患者様のご要望は様々です。
「痛みが少ない治療を希望している」「治療期間をできるだけ早くしたい」など、できる限りご要望に沿った治療計画を提案いたします。
05

歯を抜いての矯正治療に抵抗がある患者様もいらっしゃいます。
そこで少しでも安心して矯正治療できるよう、なるべく歯を抜かない「非抜歯矯正(ひばっしきょうせい)」という治療法を採用しております。
06

矯正治療中でも、虫歯、歯周病の治療を並行して進めることができます。
07

様々な患者様のお悩みに寄り添った矯正専門医がカウンセリングから治療まで対応します。
08

弊社ではiTero Luminaという最新の口腔内スキャナーを導入しています。 スキャンする際に口の中へ入れるヘッドが小さいため、お口の小さな方やお子様、 10代の方の不快感を軽減されています。また、6個のカメラが搭載された高解像度の3Dスキャンにより、 より正確な治療計画をご提案できます。



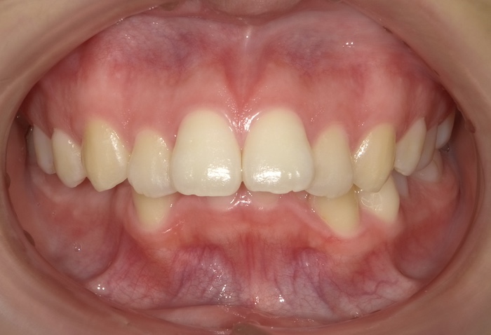
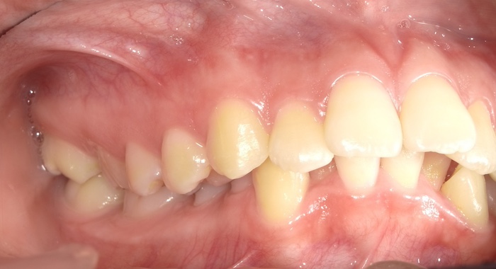
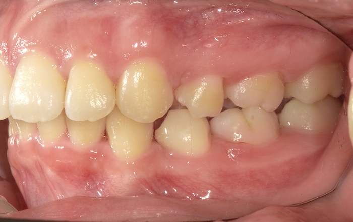
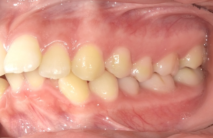
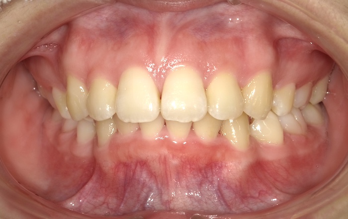
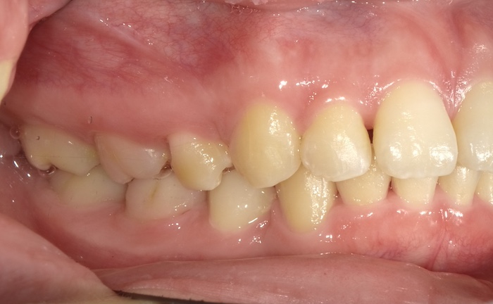
歯並びがデコボコ

出っ歯

上の歯が下の歯を隠す

前歯がすきっ歯

しゃくれた歯ならび
(受けロ)

前歯が浮いて
しまっている
| インビザライン | ワイヤー矯正 | |
![]() |
![]() |
|
| 見た目 | 目立ちにくい | 金属部分が目立つ |
| 取り外し | 自分で取り外し可能 | 自分で取り外し不可 |
| 虫歯リスク | 低い | 高い |
| 痛み | 痛みが少ない | 締め付ける痛みあり |
| 金属 アレルギー |
アレルギーなし | 可能性あり |
| 衛生面 | 取り外せるため通常の ブラッシングでOK |
専用の歯ブラシが 必要 |
| 応急対応 頻度 |
ほとんどない | ワイヤーの伸びだし 装置脱離など |
| しゃべり | 若干発音し難い場合がある | 発音がしにくかったり 唇にワイヤーが引っかかる場合がある |
| 注意点 | 1日22時間の着用必要 | 着脱できないので 虫歯や歯周病に注意 |
・症例によっては対応できないことがあります。
・最初は矯正装置の装着による不快感や違和感があります。
・歯の移動には、個人差がありますが、痛みが伴うことがあります。
・歯の移動に伴い、顎関節症状が出る可能性があります。
・マウスピース矯正装置を誤飲する可能性があります。
・場合によっては歯が動かない可能性があります。
・個々人のケースにより、当初の治療計画を変更する可能性があります。
・歯科医師の指導に従わない場合、治療期間終了後に元に戻る可能性が高まります。
・治療後に智歯(親知らず)が生えてきたことにより、歯並びに変化が生じる可能性があります。






カウンセリング※1
無料
精密検査(初回のみ)※2
5,500円(税込)
インビザラインGO※3
462,000円(税込)
インビザライン
コンプリヘンシブ※4
798,000円(税込)
定期検診・装置の調整(2~3ヶ月に1回程度)※5
5,500円(税込)
※1:口腔内の状況によっては、レントゲンや歯茎の検査が必要な場合があるため、保険の内容(金額目安:2,000円~2,500円)で検査させていただきます。
※2:初回時に、矯正治療に必要な口腔内検査、レントゲン撮影、口腔内写真撮影、歯形の型取りを実施します。
※3:インビザラインGOとは、前歯の一部を矯正するために使用するマウスピース型矯正装置です。
※4:インビザライン・コンプリヘンシブとは、様々な症例に幅広く対応できるマウスピース型矯正装置です。
※5:調整料は治療通院回数により総額が異なります。目安の通院回数は、10~24回となります。
各種クレジットカードでのお支払い可能です。

参考例となります。デンタルローンの詳細に関してはカウンセリング時にお伝えいたします。
| 年数 | 462,000円の場合(月額支払い費用) | 798,000円の場合(月額支払い費用) |
|---|---|---|
| 1年 | 39,700円 | 68,600円 |
| 2年 | 20,400円 | 35,200円 |
| 3年 | 14,000円 | 24,200円 |
| 4年 | 10,800円 | 18,600円 |
| 5年 | 8,800円 | 15,300円 |
| 6年 | 7,600円 | 13,100円 |
| 7年 | 6,700円 | 11,500円 |
医療費控除とは、その年の1月1日から12月31日までの間に患者様本人、または家族全員の1年間の
医療費の合計が10万円を超えた場合に一定の金額が返還される制度です。
確定申告することで還付金を受け取ることができます。
| 所得額 (万円) | 返還金額(還付金+減税額) |
|---|---|
| 250 | 72,400円 (36,200+36,200) |
| 300 | 72,400円 (36,200+36,200) |
| 400 | 108,600円 (72,400+36,200) |
| 500 | 108,600円 (72,400+36,200) |
| 600 | 108,600円 (72,400+36,200) |
| 700 | 119,460円 (83,260+36,200) |
| 800 | 119,460円 (83,260+36,200) |
| 900 | 119,460円 (83,260+36,200) |
| 1000 | 155,660円 (119,460+36,200) |
| 所得額 (万円) | 返還金額(還付金+減税額) |
|---|---|
| 250 | 139,600円 (69,800+69,800) |
| 300 | 139,600円 (69,800+69,800) |
| 400 | 209,400円 (139,600+69,800) |
| 500 | 209,400円 (139,600+69,800) |
| 600 | 209,400円 (139,600+69,800) |
| 700 | 230,340円 (160,540+69,800) |
| 800 | 230,340円 (160,540+69,800) |
| 900 | 230,340円 (160,540+69,800) |
| 1000 | 300,140円 (230,340+69,800) |
Step.1

Step.2

口腔内を確認しながら、患者様の現状を把握いたします。
状況によっては、レントゲンや歯茎の検査が必要なため、保険の内容(金額目安:2,000円~2,500円)で検査させていただきます。
その後、患者様のお悩みやご質問について全てお答えしながら、 矯正スケジュールやプランのご説明を致します。
Step.3

歯型や顎の状態などさらに詳細な検査を実施し、それをもとに治療開始から治療完了に至るまで、歯並びが揃うまでの経過予測をいたします。
Step.4

また、これまでの検査結果の説明、費用具体的な治療計画を患者様の意向に沿った内容で決定します。
その後、契約書の署名と矯正の装置を作るための歯型を取ります。
Step.5

約2週間〜6週間でマウスピースが到着します。
マウスピースのお取り扱いや注意点をお伝えします。
必要があれば調整も行います。
Step.6

1~2週間に1回マウスピースを交換し、矯正していきます。
個人差はありますが、1年半~2年ほどかかります。 ご来院時は、計画通りに歯が動いているかシミュレー ションと照らし合わせて評価していきます。
Step.7

目標の位置に、歯が動いているか確認します。
部分的に移動が必要な場合は、再度型取りをする必要が あります。
Step.8

矯正後、綺麗な歯ならびを維持できるよう、保定装置を使用します。
(取り外し可能です)
Step.9

必要であれば、定期的に虫歯や歯周病、保定装置の状況やクリーニングを行います。
Qマウスピース矯正が出来ない場合はありますか?
Aマウスピース矯正は、重度の不正咬合の治療には向いておりません。
歯列の乱れが激しく、複雑な治療や歯が大きく移動させる場合は、別の方法が最適です。
Q虫歯がありますが、矯正治療は受けられますか?
A受診できます。虫歯治療を済ませてから矯正治療に入ります。
Q何歳からインビザラインで治療できますか?
A第2大臼歯(12歳臼歯)が生えていればインビザラインによる矯正治療ができます。
骨を作る細胞の活性が高い成長期(中学生頃)に始めるのが良いでしょう。
Q抜歯が必要な場合、インビザラインで治療できないですか?
A抜歯が必要なケースや、複雑な歯の動きが必要なケースにおいても、インビザラインによる治療が可能です。
Q食事制限などはありますか?
A特にありません。しかし、食後に歯磨きをせずにアライナーを装着すると虫歯の原因になりますので、毎食後は歯磨きをしてから装着するようにしてください。
Q矯正治療中に痛みはありますか?
Aマウスピース矯正は、従来のワイヤーによる矯正治療と比べて痛みの少ない治療です。
約1~2週間ほどでアライナーを交換します。細かいスパンで交換するので歯を動かすときの痛みが少なくて済みます。
そのため、ワイヤーの矯正治療でよくある「治療の痛みで食事ができない」ことはほとんどありません。
Q治療完了までどのくらいの期間かかりますか?
A治療をスタートしたときの年齢や歯並びの状態によって変わるため個人差がありますが、一般的には約1年半〜2年です。
Q分割払いは可能ですか?
Aはい。デンタルローンをご利用頂けます。
Q抜歯をせずに矯正治療することは可能ですか?
Aマウスピース矯正では出来る限り「抜歯をしない」という選択のもとで治療方法を検討しますが、お口の状態によっては抜歯を行うケースがあります。また、抜歯まで至らなくとも、少しだけ歯を削って調整する方法を採ることもあります。
クリニックの様子
清潔感あるクリニックで安心して治療ができます。
スタッフの様子
笑顔で真摯に患者様に対応いたします。
| 日時 | 月 | 火 | 水 | 木 | 金 | 土 | 日 | 祝 |
|---|---|---|---|---|---|---|---|---|
| 9:00~12:15 | ||||||||
| 14:00~18:30 |
診療時間9:00~12:15/14:00~18:30
定休日木,日,祝
住所〒250-0001神奈川県小田原市扇町3-27-20
駐車場・アクセス専用駐車場:16台
電車でお越しの場合:
小田急小田原線「足柄駅」より
徒歩3分
こんにちは。「白山歯科クリニック」院長の、田賀 紀広(たが のりひろ)と申します。
私が日々の診療で大切にしているのは、患者さまにとってより良い治療をご提供することです。
これまで、インプラント治療や被せ物の治療をはじめ、様々な治療を行いました。
その中で「歯並びの改善が、治療の質を向上させることにつながる」と強く感じるできごとが数多くありました。
そこで、より良い治療を目指すためにマウスピース矯正を導入したのです。
マウスピース矯正の導入後は、治療の質が高まったのはもちろん、歯並びがキレイに整うことで喜ばれる患者さまも増えました。
従来行っていた治療を向上させるために始めたマウスピース矯正ですが、現在はこの治療の良さを活かして一人でも多くの方の歯並びを改善していきたいと考えております。
昭和63年 日本歯科大学歯学部 卒業
昭和63年 児玉歯科医院 勤務
平成5年 白山歯科クリニック 院長
平成25年 医療法人白山歯科クリニック 理事長


矯正歯科コラム

矯正治療では、 ・歯を動かすスペースを作る ・綺麗に歯を並べる ために、抜歯が必要になる場合があります。 抜歯が必要になる場合がある一方、 ・マウスピース矯正(イン […]

白山歯科クリニックでは、矯正の際の歯型取りの負担を軽減する口腔内スキャナー「iTero ルミナ(アイテロ ルミナ)」を導入しています。 今回は、「iTero ルミナを使ったインビザライン矯正のメリット」のご […]

目立ちにくさ、矯正中の痛みの少なさなどから、近年、注目されているマウスピース矯正。 マウスピース矯正を受けることをお考えになるとき、気になるのが、矯正期間ではないでしょうか。 矯正期間が気にな […]
この度は当院のホームページをご覧いただき、誠にありがとうございます。
また、「一度相談するとしつこく営業されるのでは?」心配される方も多くいらっしゃいますが、当院ではしつこい営業行為は一切しておりませんので、お気軽にご相談くださいませ。
お申し込みいただきましたら、こちらからご連絡させていただきます。
24時間WEB予約はこちら